Before and After Photos
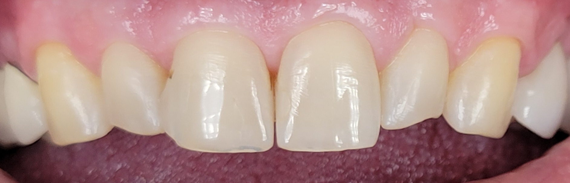
Before
After
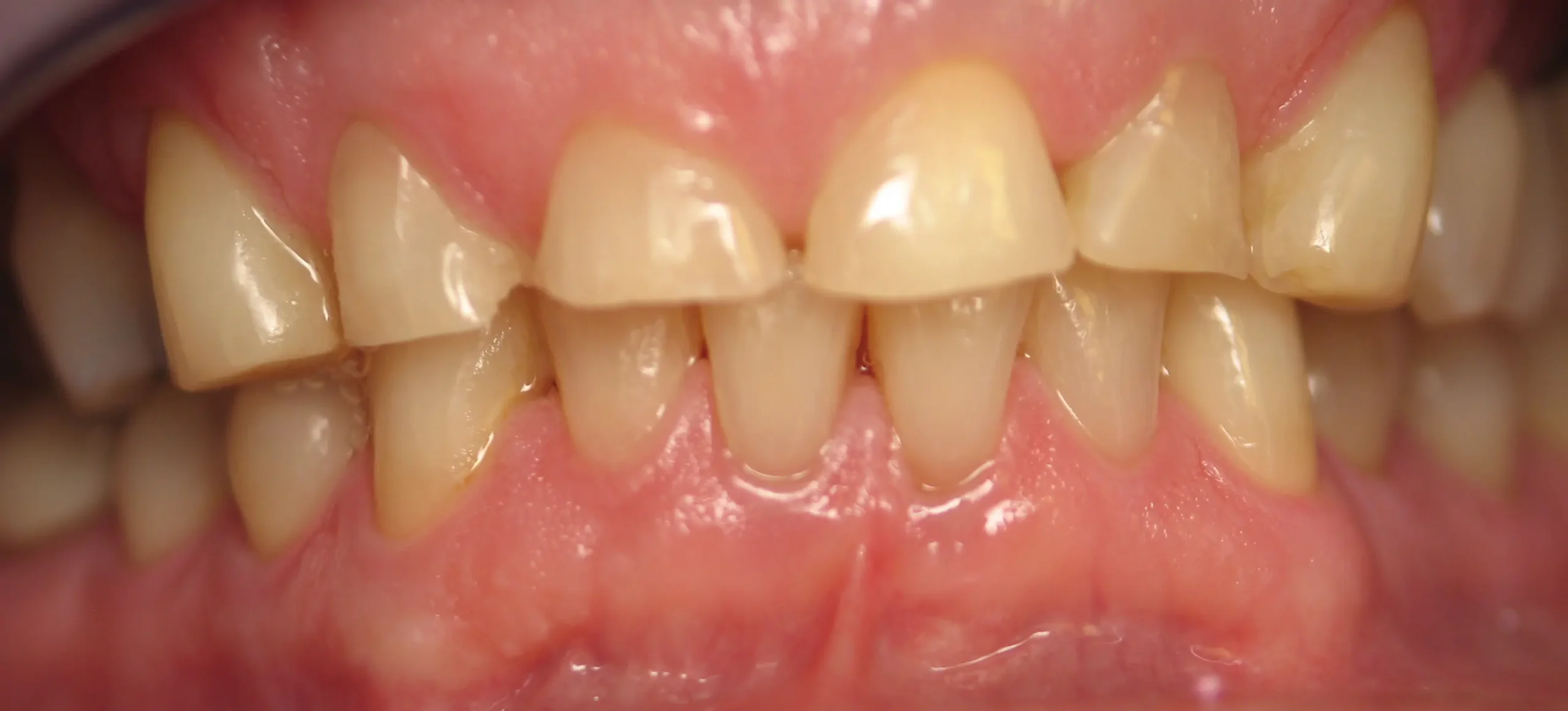
Before
After
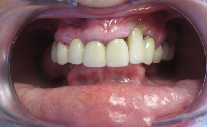
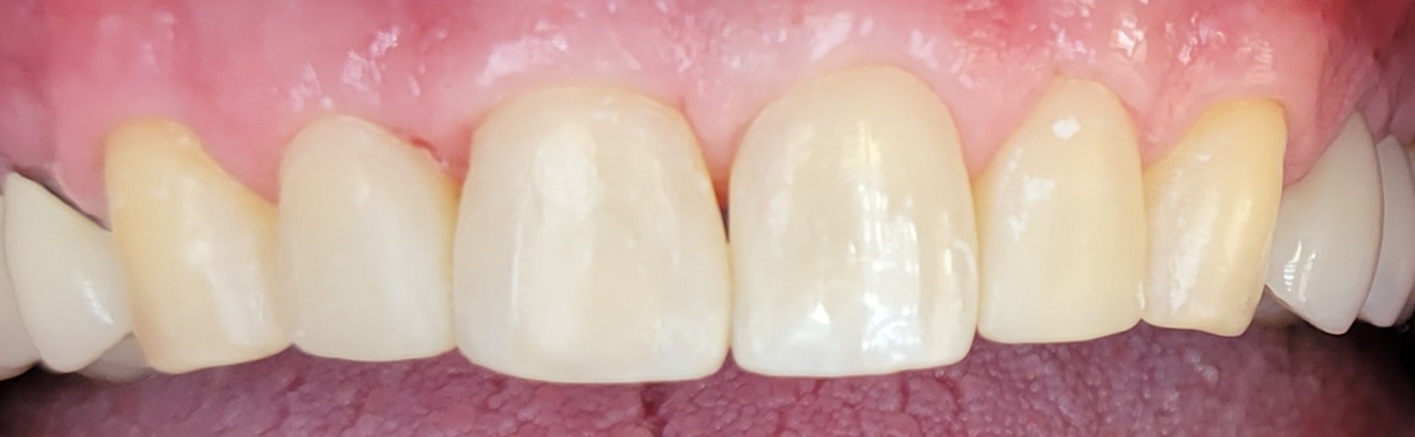
Crowns – Before
Crowns – After
Invisalign – Before
Invisalign – After
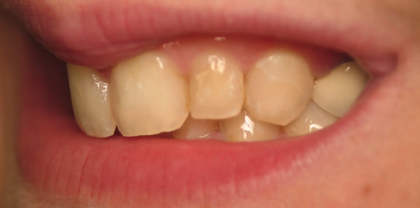
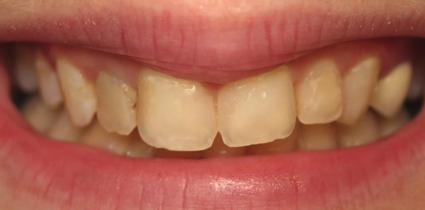
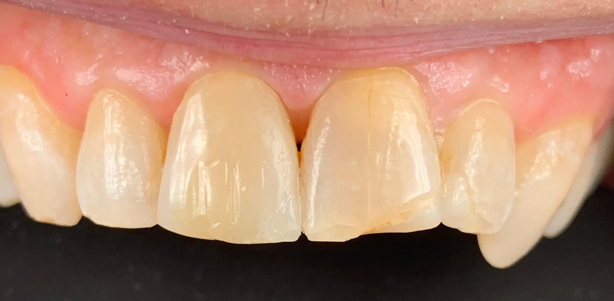
Composite to whiten one of the front teeth – Before
Composite to whiten one of the front teeth – After
Before
After
Before
After
Schedule Your Cleaning, Exam, X-Rays
– or –
FREE Dental Implant Consultation
(Up to $115 Value)
Future of Dentistry’s Dracut office serves patients across Middlesex County and the Merrimack Valley with general and family dentistry, dental implants, cosmetic dentistry including Invisalign clear braces, veneers, and teeth whitening, oral surgery, and dentures. With advanced technology and a comfortable, modern office, we’re a one-stop shop for all your dental needs, serving patients in Dracut and Lowell, along with the surrounding communities of Pelham, NH, and Tyngsborough.
